Nigerijský pašerák drog spolykal 55 kapslí s kokainem. Odhalil ho v linkovém autobusu pes celníků

Zpět na článek

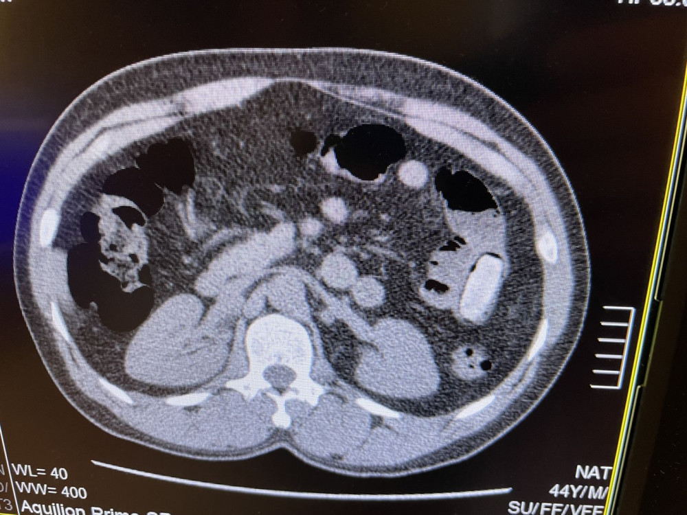
Nigérijský pašerák drog spolykal 55 kapslí s kokainem. Odhalil ho v linkovém autobusu speciálně vycvičený pes

Nigérijský pašerák drog spolykal 55 kapslí s kokainem. Odhalil ho v linkovém autobusu speciálně vycvičený pes

Přihlášení uživatele

Přihlásit se pomocí GoogleZaložením účtu souhlasím s obchodními podmínkami, etickým
kodexem
a rozumím zpracování osobních údajů dle poučení.

Zapomenuté heslo

Na zadanou e-mailovou adresu bude zaslán e-mail s odkazem na změnu hesla.

Pošli tip na kulturní akci

Publikace zaslané kulturní či sportovní akce není garantována a vždy o publikaci rozhoduje redakce.
Zasláním tipu do redakce zároveň deklaruji, že mám svolení s užitím fotografie.

* Soubor není povinné přikládat.
Napište první písmeno abecedy.

Odesláním formuláře souhlasím s obchodními podmínkami, etickým kodexem a rozumím zpracování osobních údajů dle poučení.

O jaký newsletter máte zájem?

Vyber jednu, nebo více možností a my se postaráme o to, aby do emailu přišly jen zprávy, které tě zajímají.

Napište první písmeno abecedy.